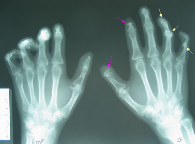
ARTHROPATHY
Jun 13, 11
Other articles
:
arthropathy
arthropathy
arthropathy
arthropathy definition
arthropathy signs and symptoms
arthropathy symptoms
arthropathy icd 9 code
arthropathy management
arthropathy complications
arthropathy nos
arthropathy facet
arthropathy shoulder
WikiPedia
Google
Sitemap